北米の調査では, 補綴修復治療を開始する前に歯牙位 置を適正化することについて示唆がありました1




“補綴修復物の機能と長期的維持に向けて”
Dr. Ronnie Yap,(シンガポール)
Dr.Ronnie Yapによる、「症例の全体像を捉える包括的 歯科医療」の解説をご視聴いただけます。審美歯科治療 に歯牙移動を組み込んだ際の氏の経験を紹介します。


審美歯科医療についての洞察を見る


審美歯科医療の動向
eBook『審美歯科医療の動向』で、審美歯科医療ニーズの高まりに応える方法を紹介しています。


治療ガイド モジュール1:
包括的歯科医療に向けた、
アライナー治療による歯牙の再配列
歯牙移動が口腔衛生、審美性および機能に与える影響を紹介しています。
審美治療に歯牙移動を組み込む目的とは?


審美的成果の向上
補綴修復前の歯牙配列は、不正咬合による干渉の予防、過剰接触の解消、安定した咬合の基盤の確立、補綴修復物の機能の安定性と保存に役立ちます.2,3,4 .


高まるニーズに応える
料金や治療期間が増えたとしても、一人一人の悩みに対応できる個別の包括的治療計画を希望する患者さまが増えています。.5


診療拡大を加速
補綴修復治療の45%が、歯牙移動に よりメリットを得られる可能性がありま す。6 クリニックの可能性が広がります。


審美的成果の向上
補綴修復前の歯牙配列は、不正咬合による干渉の予防、過剰接触の解消、安定した咬合の基盤の確立、補綴修復物の機能の安定性と保存に役立ちます.2,3,4 .


高まるニーズに応える
料金や治療期間が増えたとしても、一人一人の悩みに対応できる個別の包括的治療計画を希望する患者さまが増えています。.5


診療拡大を加速
補綴修復治療の45%が、歯牙移動に よりメリットを得られる可能性がありま す。6 クリニックの可能性が広がります。
症例研究:補綴修復前の歯牙配列の臨床的影響に関する所見
本症例研究は、補綴修復治療のみを適用した場合と歯科矯正 - 補綴修復治療を適用した場合について、それぞれ期待でき る成果を示すものです。

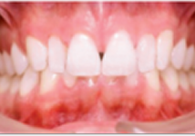
正常でない空隙歯列
正中離開(A)等の歯間空隙が不均等な症例については、求める審美的成果を達成するため、空隙を被覆するベニアを要する 場合がある。

補綴修復前に歯牙配列を行わなかった場合
本症例では、ベニアの長幅径比を調整して正中離開を被覆した。この治療アプローチは、想定外のブラックトライアングルと上 顎切歯のアンバランスな配置をもたらすおそれがある(B) 。


補綴修復前に歯牙配列を行った場合
綴修復治療の開始に先立ち空隙を再配分した場合(C) 、適切な長幅径比のベニアを用い、より自然 で美しいスマイルを確立することが容易になる(D) 。 *

正常でない空隙歯列
正中離開(A)等の歯間空隙が不均等な症例については、求める審美的成果を達成するため、空隙を被覆するベニアを要する 場合がある。

補綴修復前に歯牙配列を行わなかった場合
本症例では、ベニアの長幅径比を調整して正中離開を被覆した。この治療アプローチは、想定外のブラックトライアングルと上 顎切歯のアンバランスな配置をもたらすおそれがある(B) 。


補綴修復前に歯牙配列を行った場合
綴修復治療の開始に先立ち空隙を再配分した場合(C) 、適切な長幅径比のベニアを用い、より自然 で美しいスマイルを確立することが容易になる(D) 。 *
*症例提供:Dr.Cristina Viyuela(スペイン)https://alignglobalgallery.com/で類似症例をご覧いただけます。
アライナーは、次を見据えた初めの一歩
診療を変えるための3ステップ


1.個人情報の登録
簡単な登録フォームにご記入いただい後、当社の登録チームからご連絡いたします。
2.インビザライン® ドクター認定
オンライントレーニングコースと、学習内容を実践するための患者症例を1件修めます。
3.治療提供開始
インビザライン® システムを患者さまにご提供い ただけます。6


1.個人情報の登録
簡単な登録フォームにご記入いただい後、当社の登録チームからご連絡いたします。
2.インビザライン® ドクター認定
オンライントレーニングコースと、学習内容を実践するための患者症例を1件修めます。
3.治療提供開始
インビザライン® システムを患者さまにご提供い ただけます。6






